К сожалению, что такое боль головная (или цефалгия), сегодня знает даже маленький ребенок. Такая неприятность мешает сконцентрироваться на поставленных задачах порой в самый неподходящий момент. С этой проблемой сложно передвигаться, разговаривать, слышать, видеть и понимать собеседника.
Частые головные боли могут свидетельствовать о наличии серьезных неврологических отклонений или приобретенных недугов. Поэтому очень важно «прислушиваться» к таким ощущениям и определить их локализацию. Как распознать природу болей? Почему возникают головные боли? С чем они могут быть связаны? В каких обстоятельствах стоит поспешить на консультацию к медикам? Все о головной боли не знают даже передовые специалисты, но мы постараемся как можно лучше раскрыть вам эти, в прямом смысле слова наболевшие, вопросы.
Почему возникают болевые ощущения
Многие люди задаются вопросом — почему голова, надежно защищенная черепом, настолько чувствительна к различным недомоганиям? Ответ достаточно прост — именно тут сконцентрировано огромнейшее количество сверхчувствительных нервных окончаний:
- в больших и мелких кровеносных сосудах;
- в оболочках мозга;
- в коже, мышцах, сухожилиях;
- в надкостнице черепа.
Само вещество мозга болевых рецепторов не имеет.
Очень часто такая боль из внутричерепной области постепенно «перекочевывает» во внешние части головы. Поэтому возникают ощущения, будто сильно болят органы слуха, глаза, зубы или даже кожа головы. Боль может быть настолько интенсивной, что кажется, будто только волосы на голове не охвачены ею.
Любой сбой, который влияет на мозговые рецепторы, может спровоцировать возникновение данного дискомфорта. Но цефалгия порой никак не связана с недугами. Поэтому, чтобы определить причину боли, необходимо описать врачу характер недомогания. Например, пациенту может казаться, будто голову что-то «сжимает» или же, наоборот, «распирает» изнутри. Часто человек, страдающий от недуга, замечает интенсивное пульсирование. Иной раз пациент ощущает тупую или же острую боль.
Также, если это возможно, больной должен рассказать врачу и о таких факторах, важных для установления диагноза:
- длительность неприятного явления. Боль может мучить пациента от нескольких минут до нескольких часов, а порой и суток;
- насколько регулярно повторяется. Некоторые люди могут месяцами не испытывать подобного, другие же страдают каждый день головной болью;
- наличие предвестников боли;
- сопутствующие явления . Помимо основной проблемы, больной может сталкиваться со скачками давления, нарушениями работы ЖКТ в виде тошноты или рвоты, головокружением, «затуманенностью» зрения и нарушением работы органов слуха;
- область, в которой боль локализуется. Тем, кто постоянно сталкивается с недугом, хорошо известно, что головная боль способна охватывать виски, теменную область, затылок или верхнюю переднюю часть головы. Беспокоить может правая или левая половина. Не исключение — всеохватывающая боль.
Врачи отмечают, что головная боль может иметь как первичные, так и вторичные причины. Первичные головные боли, такие как мигрень или напряжение, возникают самостоятельно и не связаны с другими заболеваниями. Специалисты подчеркивают, что мигрень часто сопровождается такими симптомами, как тошнота и чувствительность к свету, что делает её отличительной. Вторичные головные боли, в свою очередь, являются следствием других медицинских состояний, таких как травмы, инфекции или опухоли. Врачи акцентируют внимание на важности диагностики, так как правильное определение причины боли позволяет назначить адекватное лечение. Они рекомендуют пациентам не игнорировать симптомы и обращаться за медицинской помощью, особенно если головные боли становятся хроническими или изменяются по характеру.

Причины
https://www.youtube.com/watch?v=FACeP1e2tAg
Причины головных болей бывают:
- Первичные. В этой ситуации боль не связана с различными заболеваниями. Ее, скорее, провоцируют определенные факторы.
- Вторичные. Пациента с тем или иным заболеванием часто мучает головная боль наряду с другими проявлениями недуга.
Происхождение первых выявить достаточно сложно. Пока медики делают все, для того чтобы найти источник такой боли, пациент помогает себе обезболивающими препаратами. Длиться такая диагностика может годами.
Во втором же случае все может быть намного проще, если заболевание не носит хронический и/или запущенный и неизлечимый характер. При таких обстоятельствах устраняют не только признаки головной боли, но и их первопричину.
Первичные причины
Среди медиков бытует мнение, что вполне нормально, когда взрослый человек ощущает легкую боль в области головы еженедельно 1 или 2 раза. Но частые головные боли — это, несомненно, веский повод наведаться к врачу. Какие признаки наиболее опасны? Вот основные симптомы головной боли, которые должны послужить поводом для беспокойства:
- впервые возникшая боль;
- чересчур сильные, невыносимые болевые ощущения;
- боль после внешних повреждений головы;
- боль «будит» ночью;
- наряду с этим неприятным явлением наблюдаются явные нарушения речи, движений или работы органов зрения;
- последующие приступы выражаются более ярко. Это особенно опасно для таких уязвимых возрастных категорий, как ранее детство и преклонный возраст;
- расстройства пищеварительной системы. При этом рвота не приводит к облегчению состояния;
не действуют средства для обезболивания; - лихорадка;
- кожа покрывается различными видами высыпаний;
- затуманенное сознание;
- внезапный «прыжок» кровяного давления;
- длительные, не прекращающиеся несколько суток головные боли и неспособность сильных препаратов их одолеть;
- болезненные ощущения как последствия приема медикаментозных препаратов.
Головная боль — это распространённая проблема, с которой сталкиваются многие люди. Первичные причины, такие как мигрень или напряжение, часто обсуждаются в кругу знакомых и друзей. Люди делятся своими переживаниями, рассказывая о том, как стресс на работе или недостаток сна могут спровоцировать сильные приступы. Вторичные причины, например, заболевания, такие как синусит или высокое кровяное давление, менее заметны, но также вызывают много вопросов. Многие отмечают, что важно обращать внимание на сопутствующие симптомы, чтобы не упустить серьёзные проблемы со здоровьем. В целом, обсуждение головной боли помогает людям лучше понимать свои ощущения и искать пути решения, будь то изменение образа жизни или консультация с врачом.

Боли напряжения
Многие пациенты замечают, что головные боли часто связаны с предшествующим им эмоциональным перенапряжением. Такие приступы встречаются достаточно часто, и их появление не связано с другими заболеваниями. «Мучить» свою жертву они могут каждый день. Факторами, способствующими развитию боли напряжения, являются:
- психоэмоциональные расстройства. Стрессы на регулярной основе, длительное нервное напряжение, депрессивное состояние — все это неминуемо рано или поздно спровоцирует приступы боли напряжения;
- несоблюдение режима работа/отдых. Постоянные перегрузки, как физические, так и умственные, на фоне недосыпания способны привести к такой проблеме, как частая головная боль напряжения;
наследственная склонность к чрезвычайной мышечной активности; - проблемы со зрением. Тот, кто не сделал коррекцию близорукости или дальнозоркости, постоянно «щурит» глаза, тем самым напрягая мышечные волокна и провоцируя частые боли в голове.
Как проявляется:
- болеть голова может с правой и с левой стороны одновременно;
- по интенсивности это, как правило, ноющая головная боль;
- при смене положения тела или увеличении ритма движений болезненные ощущения носят стабильный характер;
- некоторые пациенты жалуются скорее на дискомфорт, чем на боль. Он проявляется как хроническая усталость, «сдавливание» головы;
- больной уязвим к световым и звуковым раздражителям;
- такое явление возникает под конец дня и уходит при правильном и полноценном отдыхе;
- медикаменты быстро устраняют проблему этого происхождения.
Для того, чтобы избавиться от таких приступов, корректируют режим дня, или устраняют другой из вышеперечисленных факторов.
Головная боль в течении 15-20 минут снимается при помощи легких нестероидных и ненаркотических средств.
Мигрень
Такая разновидность головных болей также часто встречается. Хотя о происхождении этого расстройства медики спорят, все же можно выделить ряд обстоятельств, которые могут спровоцировать недуг:
- стрессовое состояние организма;
- гормональные сбои;
- нарушение режима сна. Мигрень бывает как вследствие недосыпа, так и при чрезмерно длительном сне;
- употребление спиртного. Особенно часто такую боль вызывает выпитое накануне красное вино;
- резкие погодные перепады;
- чрезмерные физические нагрузки на организм;
- умственное перенапряжение;
- употребление некоторых видов пищи — шоколада, орехов, какао, рыбы или очень крепкого кофе и др. продуктов, содержащих кофеин;
Как проявляется:
- голова болит либо с правой, либо с левой стороны;
- при смене положения или даже легком повороте болезненные ощущения значительно усиливаются;
- такое состояние может беспрерывно длиться до 3-х суток;
- головная боль с выраженной интенсивностью;
- пациент не может смотреть на свет и адекватно воспринимать звуки или прикосновения — все это становится раздражителем;
- как правило, легкие препараты не способны избавить от приступа боли;
- иногда пациент ощущает ауру, подобную предвестнику эпилептического припадка.
Чтобы избавиться от боли, применяют разные методы. Во-первых, устраняют сам приступ. Делают это при помощи анальгетиков или даже специальных медикаментозных средств, которые нацелены на борьбу непосредственно с мигренью.
Во-вторых, прибегают к профилактике этого расстройства.
Для этого используют антиконвульсанты и антидепрессанты.
Боль хронического характера
Хотя подобное нарушение в современной медицине уже не попадает ни под одну из классификаций, около половины пациентов страдают именно от него. Часто головные боли, причины которых пытаются отследить медики всего мира, очень напоминают боль напряжения. Правда, длится такое состояние на порядок дольше, доставляя пациенту еще больший дискомфорт.
Некоторые специалисты считают, что этот вид скорее следует отнести к мигрени. Такая «трансформация» мигрени возникает, когда пациент на протяжении длительного времени употребляет анальгетики.
В терапии применяют те же препараты, что и при мигрени, дополняя их процедурами и лечебными физическими упражнениями.
Вторичные причины
Как упоминалось выше, головные боли могут иметь своей причиной то или иное заболевание. И если это действительно так, ситуация имеет две стороны медали. С одной стороны, это может быть хорошо — вылечившись от основного недуга, есть шанс навсегда забыть о неприятном состоянии. С другой же стороны, причины головной боли могут быть серьезнее, нежели вы ожидаете.
Рассмотрим самые распространенные из них.
Абузусная боль
Такое расстройство не самостоятельно по своему происхождению. Появляется оно тогда, когда лица, страдающие от головной боли напряжения или же мигрени, злоупотребляют препаратами — анальгетиками, барбитуратами, нестероидными противовоспалительными средствами и др.
Последствия внешних повреждений головы
Нужно ли говорить о том, что головная боль в случае перенесенной черепно-мозговой травмы неминуема. Даже сотрясение мозга не проходит без следа. Если не придерживаться всех установок лечащего врача после того, как произошел неприятный инцидент, есть все шансы приобрести хронические внутричерепные боли.
Как правило, после травмы назначают постельный режим, воздержание от физических нагрузок.
Нельзя также употреблять крепкие напитки и вредную пищу.
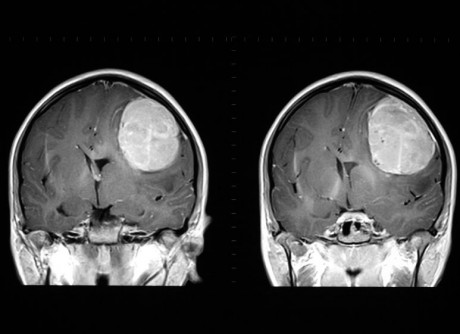
Новообразования в мозге
Нередко причины частых головных болей — доброкачественные или злокачественные новообразования в мозге. Такой симптом опухоли, как боль — самый распространенный. Тем не менее, многие не придают болям особого значения, а когда проходят обследование — уже слишком поздно. Поэтому важно прислушиваться к собственному организму и знать основные отличия такой боли:
- возникает с самого утра, когда человек еще не встал с кровати;
- наряду с этим больного постоянно тошнит, и он испытывает приступы рвоты;
- нарушается координация движений, речь, слух и зрение;
- интенсивность боли постоянно растет, больному необходимы сильные обезболивающее средства.
Ишемия мозга
При таком заболевании сосуды всего мозга патологически сужены. Это служит причиной недостаточного поступления кислорода в клетки мозга. Такое нарушение и вызывает цефалгию.
Скачки кровяного давления
Многие, почувствовав боль в голове, первым делом хватаются за тонометр. И не зря, ведь как повышенное, так и пониженное давление может спровоцировать болевой приступ. У него также есть свой, особенный характер.
Помимо того, что человек ощущает головные боли, симптомы колебаний давления — это слабость и нарушения координации. Те, кто страдает от таких сбоев, ощущают постоянную усталость без явных причин и неконтролируемое желание спать в любое время суток. Сами болезненные ощущения не острые, но пульсирующие. Они носят рассеянный характер. Принимают меры после того, как измерят давление. Стабилизирующие препараты, если принимать их правильно, устраняют проблему.
Дистония нейроциркуляторная
Если такое нарушение наблюдается, артерии в головном мозге чрезмерно часто находятся в состоянии спазма. Вены же при этом расширяются. Этот процесс приводит к возникновению интенсивной пульсирующей боли. Положение усугубляется после употребления крепких алкогольных напитков или кофеина, а также после курения.
У детей
При отсутствии таких заболеваний, как, например, простуда и грипп или отравление, головные боли у детей должны если не встревожить, то хотя бы вызвать повышенное внимание со стороны родителей.
Маленькие люди также могут страдать от перечисленных выше расстройств.
Тем не менее, у детских расстройств могут быть дополнительные, не похожие на «взрослые» причины:
- Гипертония у малышей. Бывает так, что детки вследствие различных факторов, будь то наследственность, несоблюдение режима дня или погодные перепады, страдают от постоянно повышенного артериального давления. Легкую форму такой гипертонии можно устранить прогулкой на свежем воздухе или чаями на травяной основе. Если такие меры не помогают, отведите кроху к врачу.
- Вредная пища. Все родители сталкивались с тем, что их чадо предпочтет сосиску или колбасу полезному мясу или сладости, сухарики и чипсы полноценному обеду. Концентрация пищевых добавок и консервантов, содержащихся в этих продуктах, губительна для детского организма. Они нарушают работу сосудов, что провоцирует неприятные ощущения внутри черепа. Нет необходимости в специфическом лечении, необходимо соблюдать здоровый рацион.
- Мигрень. К огромному сожалению, склонность к этому расстройству может передаться малышу от мамы. О лечении детально расскажет детский невролог.
- Психоэмоциональные расстройства. От перепадов настроения, которые сопровождаются плачем и приступами истерики, у детей и подростков может сильно болеть голова. Даже радостные события, тем не менее связанные с волнением, могут спровоцировать дискомфорт. Правильные наставления родителей и собственный опыт, несомненно, помогут маленькому человеку научиться справляться с эмоциональным напряжением.
- Обстановка. Не все дети могут быстро адаптироваться к внешним факторам. Например, у младенцев может заболеть голова от яркого освещения, громкого звука или резких перепадов температур.
Профилактика и лечение
После всех обследований специалист назначает терапию, которая либо устраняет такие причины частой головной боли, как заболевания, либо первичную цефалгию.
Как правило, применяются медикаментозные средства, которые нацелены на устранение различных нарушений:
- средства для сужения или же для расширения сосудов;
- противовоспалительные средства нестероидного происхождения;
- анальгетики;
- спазмолитики и др.
Хорошо помогают также такие процедуры, как массаж и специальная физкультура.
Прежде всего следует придерживаться основных правил здорового образа жизни.
К ним относятся такие базовые вещи, как:
- не злоупотреблять крепкими алкогольными напитками;
- воздерживаться от сигарет и наркотиков;
- употреблять здоровую, обогащенную витаминами пищу;
- соблюдать режим сна и активности;
- не пренебрегать легкими физическими нагрузками при сидячем образе жизни;
- ежедневно проводить время на свежем воздухе.
Во многом состояние нашего здоровья зависит от нас самих. Помните: последствия головной боли очень серьезны — вплоть до заболеваний нервной системы.
Поэтому при частых нападках этого недуга не стоит купировать его обезболивающим, а нужно попросить врача назначить вам обследование с последующим проведением терапии.
Вопрос-ответ
Как узнать, является ли головная боль первичной или вторичной?
Первичные головные боли являются самостоятельными состояниями, тогда как вторичные головные боли являются симптомами основных проблем со здоровьем . Определение типа головной боли, которую вы испытываете, ее характеристик и связанных с ней симптомов может помочь вам и вашему лечащему врачу выбрать подходящий план лечения.
Какие состояния являются вторичными по отношению к мигрени?
Вторичные состояния мигрени могут варьироваться от проблем с психическим здоровьем, таких как ПТСР, тревожность и депрессия, до физических недугов, которые возникают или усугубляются мигренями . Распознавание этих состояний и их связь с вашим первичным диагнозом мигрени может стать ключом к открытию более высоких преимуществ VA.
Какая форма первичных головных болей встречается наиболее часто?
ГБН является самым распространенным типом первичной головной боли. Об эпизодической ГБН (менее 15 дней в месяц) сообщают более 70% людей в некоторых группах населения, от хронической ГБН страдают 1-3% взрослых людей.
Какие из перечисленных ниже признаков являются тревожными сигналами о вторичном синдроме головной боли?
Тревожные признаки, включая внезапное начало, высокую интенсивность боли, характер изменения ранее существовавшей головной боли, очаговые неврологические признаки или судороги, системные признаки и усиление головной боли при физической активности, могут помочь врачу заподозрить вторичную головную боль.
Советы
СОВЕТ №1
Обратите внимание на триггеры головной боли. Ведите дневник, в котором фиксируйте, когда и при каких обстоятельствах возникают головные боли. Это поможет выявить первичные причины, такие как стресс, недостаток сна или неправильное питание.
СОВЕТ №2
Регулярно занимайтесь физической активностью. Умеренные физические нагрузки, такие как прогулки или йога, могут помочь снизить уровень стресса и напряжения, что в свою очередь может уменьшить частоту головных болей.
СОВЕТ №3
Следите за своим водным балансом. Обезвоживание может быть одной из причин головной боли, поэтому старайтесь пить достаточное количество воды в течение дня, особенно в жаркую погоду или при физической активности.
СОВЕТ №4
Не игнорируйте симптомы. Если головные боли становятся частыми или интенсивными, обратитесь к врачу для диагностики. Это поможет исключить серьезные заболевания и подобрать эффективное лечение.














