Глиобластома головного мозга представляет собой опасное и агрессивное онкологическое заболевание. Она не склонна к распространению метастазов в другие органы, но при этом опасность от поражения не снижается.
Лечение не поможет окончательно устранить патологию мозга и нормализовать его работу.
Поэтому у болезни редко бывает благоприятный прогноз. При правильной терапии продолжительность жизни с диагнозом «глиобластома» не превышает 2 лет из-за разрушающего воздействия опухоли на весь организм.
Что такое глиобластома
Глиобластома головного мозга – опухоль злокачественного характера, она формируется из астроцитов. Как правило, такой тип рака мозговой ткани диагностируется у представителей мужского пола, локализуется в коре, в лобных долях или в стволе головного мозга.
Новообразование развивается в результате неконтролируемого размножения астроцитов – это звездчатые глиальные клетки. Каждый человек должен иметь представление, что такое глиобластома головного мозга, чтобы иметь возможность вовремя обратиться к врачу.
Для глиобластом характерно беспорядочное скопление клеток опухоли с увеличенным количеством ядер, которые перемежаются с очагами некроза и измененных сосудов.
Данный вид злокачественного образования, появляющегося в головном мозге, очень опасен по причине быстрого роста и отсутствия четких разграничений между пораженными и здоровыми тканями.
Врачи подчеркивают, что глиобластома головного мозга является одной из самых агрессивных форм опухолей. Она может проявляться различными симптомами, включая головные боли, судороги, изменения в когнитивных функциях и нарушения координации. На ранних стадиях заболевание может быть трудно диагностировать, так как симптомы могут быть схожи с другими неврологическими расстройствами.
Методы лечения глиобластомы включают хирургическое вмешательство, радиотерапию и химиотерапию. Хирургия направлена на максимальное удаление опухоли, однако полное удаление часто невозможно из-за ее инвазивного характера. Радиотерапия применяется для уничтожения оставшихся раковых клеток, а химиотерапия, в частности с использованием темозоломида, помогает замедлить прогрессирование заболевания. Врачи акцентируют внимание на важности мультидисциплинарного подхода в лечении, который включает работу нейрохирургов, онкологов и радиологов для достижения наилучших результатов.

Разновидности глиобластомы
Выделяют несколько видов этого злокачественного новообразования. Оно может отличаться по степени злокачественности, определяемой путем гистологического исследования взятых образцов ткани.
Есть три варианта опухоли:
- Гигантоклеточная.
- Мультиформная.
- Глиосаркома.
Диагностика конкретной формы очень важна, потому что помогает подобрать наиболее эффективное лечение. Разные типы онкологии неодинаково чувствительны к химиотерапии и радиотерапии.
Гигантоклеточная глиобластома
Гигантоклеточная глиобластома – разновидность опухоли, для которой характерно наличие аномально больших клеток с увеличенным количеством ядер.
Глиобластома головного мозга — это агрессивная форма рака, и мнения людей о ней часто полны тревоги и неопределенности. Симптомы заболевания могут варьироваться: от головных болей и тошноты до изменений в поведении и когнитивных нарушений. Многие пациенты и их близкие отмечают, что ранняя диагностика играет ключевую роль в успехе лечения. Методы терапии включают хирургическое вмешательство, химиотерапию и радиотерапию, однако их эффективность может быть ограничена. Люди делятся своими историями о борьбе с болезнью, подчеркивая важность поддержки со стороны семьи и друзей. Обсуждения на форумах часто касаются новых исследований и клинических испытаний, что внушает надежду на будущее.

Мультиформная глиобластома
Мультиформная глиобластома — наиболее опасная форма с наличием очагов некроза. Кроме поражения клеток, происходит быстрое прогрессирование некротических процессов в сосудах. Это провоцирует страшные и необратимые последствия.
Глиосаркома
Глиосаркома встречается реже всего. Это глиобластома ствола головного мозга. При несвоевременной терапии через мозолистое тело прорастает противоположную половину головы. Этот вид менее опасный, чем предыдущий, но шансы на удачные последствия и прогноз снижаются из-за отсутствия возможности спрогнозировать протекание заболевания.

Причины развития опухоли и факторы риска
Любой взрослый человек или ребенок может страдать онкологическим заболеванием. Главная причина – наследственная предрасположенность к онкологии. Также риск появления раковых клеток увеличивается при наличии врожденных или приобретенных генетических изменений. К факторам риска, под влиянием которых может возникать заболевание, также относятся:
- цитомегаловирус;
- лучевое воздействие;
- черепно-мозговые травмы;
- курение.
Возникает глиобластома головного мозга спонтанно, но бывают и семейные случаи — примерно 1% от всех диагностированных. Также ученые утверждают, что фактором роста злокачественных новообразований может быть использование пестицидов, но эта теория пока является только предположением.
У женщин чаще всего повышается риск развития и роста образования во время менопаузы, в связи с чем появилась теория о влиянии гормонов на возникновение опухоли в клетках мозга.
Стадии и симптомы
Глиобластома – тяжелая патология, которая прогрессирует с высокой скоростью. Даже вовремя проведенная диагностика и терапия не дадут стопроцентного положительного результата и не гарантируют благоприятных прогнозов.
В молодом возрасте часто выявляются вторичные глиобластомы, они растут намного медленнее по сравнению с первичными.
У глиобластомы есть свои характерные особенности:
- В большинстве случаев она появляется в височной или лобной доле мозга, может диагностироваться в стволе, мозжечке.
- При изучении под микроскопом видно, что клетки глиобластомы атипичные, у них совсем нет сходства со здоровыми, поэтому они так быстро увеличиваются в размерах и размножаются.
- Тип роста опухоли – диффузный. Глиобластома стремительно охватывает мозг, потому что обладает собственной сетью кровеносных сосудов, при этом крайне редко распространяет метастазы.
- По консистенции новообразование бывает мягким и твердым, может иметь разные размеры – от нескольких сантиметров до распространения по всему полушарию.
- Инфильтрация клеток всегда распространяется за видимые границы глиобластомы.
- Активно растущая глиобластома провоцирует повышение внутричерепного давления и может повлечь за собой гидроцефалию.
Мультиформная глиобластома характеризуется заметной симптоматикой даже в самом начале своего развития. Признаки патологии в большой степени зависят от локализации опухоли.
Когда она находится рядом с речевыми и двигательными центрами, то появляются нарушения в функционировании этих систем, частые обмороки. При таких симптомах диагноз ставится быстро.
Все проявления развития заболевания классифицируются на 2 группы: очаговые неврологические и общемозговые.
Общемозговая симптоматика глиобластомы
При возникновении глиобластомы повышается внутричерепное давление, так как опухоль сдавливает анатомические структуры мозга. Таким образом, к общемозговым симптомам глиобластомы относятся:
- Головные боли. Они прогрессируют, характеризуются высокой интенсивностью, распирающим характером, становятся сильнее в положении лежа и утром после подъема. Боль невозможно снять ни обычными, ни наркотическими обезболивающими препаратами, помогут только методы, снижающие уровень внутричерепного давления. Боль может сопровождаться тошнотой с рвотой, но после этого облегчение не наступает.
- Головокружения. Они проявляются в результате сильного сдавливания вестибулярного нерва и мозжечка. При прогрессировании глиобластомы больной не может даже просто поворачивать голову, вставать с постели.
- Рвота центрального генеза или мозговая. Она возникает под влиянием раздражения рвотного центра, находящегося в среднем мозге, при большом размере опухоли. Каждый раздражитель провоцирует рвоту – это движения, еда и вода, лекарства. По этой причине пациентов часто переводят на парентеральное питание.
- Очаговая неврологическая симптоматика
Степень проявления таких признаков зависит от расположения очага онкологии. Есть такие группы очаговых признаков поражения:
- Двигательные нарушения – возникает паралич одной или сразу нескольких конечностей, как правило, только на одной стороне тела, которая противоположна месту локализации
- новообразования. При двустороннем параличе врачи делают вывод о прорастании опухоли в оба полушария.
- Чувствительная дисфункция – происходит усиление, уменьшение или полное исчезновение некоторых типов чувствительности – температурной, болевой, тактильной.
- Ухудшается работа памяти и интеллект, изменяется характер человека, возникают множественные психические нарушения.
- Судороги с припадками.
- Нарушения равновесия, слуха, иногда больной не может контролировать положение собственного тела.
- Пациент перестает понимать устную и письменную речь, не может говорить сам.
- Нарушения зрения.
- Галлюцинации.
- Проблемы в работе вегетативной нервной системы – проблемы с сердцебиением, частотой дыхания.
- Больной может впасть в кому.
Чем меньше размер новообразования, тем меньше симптомов проявляется, а у пациента сохраняется больше шансов на выздоровление и продление нормальной жизни.
Стадии опухоли
Выделяются четыре стадии болезни развития новообразования:
- 1-я степень. Почти никаких проявлений поражения не возникает. Опухоль, по сути, еще не является злокачественной и плохо поддается диагностике.
- 2-я степень. Для нее характерно перерождение клеток в атипичные. Опухоль пока растет очень медленно.
- 3-я степень. Некроз еще не развивается, но атипичные клетки быстро делятся, и новообразование активно прогрессирует.
- 4-я степень. Начинается быстрое отмирание тканей. Глиобластома головного мозга 4 степени имеет только негативный прогноз.
Установить точную стадию можно только лишь после комплексной диагностики.
Диагностика
Для исследования опухоли в головном мозге применяются такие методы диагностики:
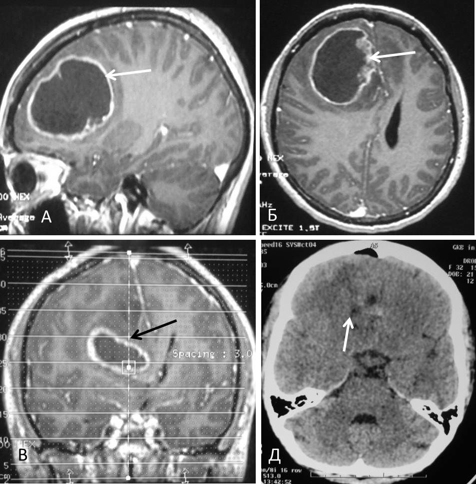
- МРТ мозга, КТ с контрастным веществом. Эти способы помогают установить локализацию опухоли, обширность распространения.
- Биопсия – извлечение микроскопической части опухолевого новообразования с целью исследования и получения информации о разновидности.
- ПЭТ – позитронно-эмиссионная томография – дает возможность диагностировать рецидив.
Методы лечения глиобластомы
Лечение глиобластомы головного мозга предполагает несколько способов:
- Химиотерапия. Это достаточно эффективный метод, чтобы лечить данный тип онкологии. Лекарства и их доза подбираются в соответствии со степенью поражения, общим состоянием больного, его возрастом и другими дополнительными факторами. Под воздействием химиотерапии происходит гибель раковых клеток. Современные медикаменты влияют на костный мозг и здоровые клетки минимально, поэтому не вызывают осложнений.
- Лучевая терапия и радиохирургия. Вылечить глиобластому может только комплексный подход, поэтому одновременно с химиотерапией реализуется лучевая. Начинать ее следует после операции по удалению новообразования. Облучение полностью заменяет хирургическое вмешательство, когда опухоль относится к неоперабельным. Курс лучевой терапии составляет 6-8 сеансов в течение 5 дней или дольше. Но добиться регресса опухоли после облучения удается только в 20% случаев.
- Поддерживающая терапия. В качестве поддерживающего лечения часто назначаются специальные противоопухолевые препараты. Принимать их требуется на протяжении одного месяца после завершения лучевой терапии. Принимают таблетки в течение 6 коротких курсов лечения в течение 5 дней с перерывами в 20-25 суток. Терапия направлена на продление жизни больного.
- Операция. В большинстве случаев глиобластома считается неоперабельной, поэтому не удаляется, а подвергается лечению консервативными способами. Когда операция по удалению допустима, то после ее завершения требуется особая реабилитация. Оперативное вмешательство может продлить жизнь человека.
- Народные средства. Несмотря на высокую скорость прогрессирования глиобластомы и угрозу жизни, некоторые надеются на помощь народного лечения. На самом деле подобные способы борьбы больше подойдут для профилактики рецидивов опухоли. Например, сок редьки втирается в волосистую часть головы в течение 20-30 минут. Затем нужно оставить компресс на ночь. Проводят процедуры еженедельно.
Даже при своевременной организации эффективного лечения вряд ли получится добиться полного выздоровления. Способ, при котором прогноз может быть максимально положительным, – удаление хирургическим путем.
Также есть определенные правила питания при глиобластоме головного мозга. Рацион должен содержать много продуктов с кальцием, магнием, так как эти микроэлементы способствуют быстрому восстановлению организма после химиотерапии.
Категорически запрещено употреблять такие продукты:
- квашеную капусту;
- горчицу;
- сухофрукты;
- воду с газами;
- бобовые;
- кисломолочные продукты.
Прогноз
Прогноз зависит от большого количества факторов, к которым также следует отнести общее состояние здоровья, возрастную группу больного, размеры и место расположения опухоли, реакцию на проводимое лечение.
Окончательный результат будет известен только после завершения полного курса комплексной терапии. Мультиформная глиобластома характеризуется неблагоприятными прогнозами, при ее развитии люди умирают.
По данным медицинской статистики, средний срок жизни людей с глиобластомой мозга – 12-15 месяцев. Срок жизни 5 лет отмечается всего у 5% пациентов.
Если опухоль поддается хирургическому лечению, то прогнозы после оперативного вмешательства лучше. Из-за неизвестности точных причин нет способов предотвратить заболевание. Профилактика заключается в постоянных обследованиях.
Медицина во всем мире, в том числе и нейрохирургия, постоянно развивается. Совсем недавно не было даже возможности удаления опухоли. В связи с этим сохраняется вероятность разработки эффективных и более надежных методов терапии, которые позволят значительно увеличить продолжительность жизни больных даже при 4-й степени заболевания.
Вопрос-ответ
Какие симптомы при глиобластоме?
Симптомы глиобластомы Симптомы заболевания, сопровождающие пациента, зависят от размера и вида опухоли. Среди частых симптомов выделяют постоянные головные боли, эпилептические припадки, проблемы с координацией, речью и четкостью зрения, судороги, повышенную раздражительность, тошноту, рвоту, спутанность сознания.
Как лечится глиобластома?
Лечение глиобластомы головного мозга Чаще всего назначают: Хирургическое вмешательство. Хирург может удалить опухоль полностью или частично, важно не повредить здоровые ткани головного мозга или сделать это минимально и тогда шансы на полное восстановление здоровья и возврат к активной жизни очень большие.
Как долго может прожить человек с диагнозом глиобластома?
Без соответствующей терапии всего около 10% пациентов могут прожить больше 3 месяцев после того, как установлен диагноз. Правильное лечение глиобластомы головного мозга в большинстве случаев способно продлить жизнь до 1, 5–2 лет, а 5% таких пациентов живут пять лет и дольше.
Что провоцирует рост глиобластомы?
Относительным риском развития глиобластомы является локальное воздействие ионизирующей радиации (например, в случаях лечения микроспории кожных покровов головы в анамнезе) – по результатам одного из исследований, риск возникновения глиобластомы у таких пациентов повышается в 2, 6 раза.
Советы
СОВЕТ №1
Обратите внимание на ранние симптомы. Глиобластома может проявляться различными неврологическими симптомами, такими как головные боли, изменения в зрении, нарушения речи или координации. Если вы заметили у себя или близких подобные признаки, не откладывайте визит к врачу.
СОВЕТ №2
Ищите второе мнение. Диагностика и лечение глиобластомы могут быть сложными, поэтому важно получить второе мнение от другого специалиста. Это поможет вам лучше понять диагноз и доступные варианты лечения.
СОВЕТ №3
Изучите доступные методы лечения. Глиобластома требует комплексного подхода, включая хирургическое вмешательство, радиотерапию и химиотерапию. Ознакомьтесь с последними исследованиями и клиническими испытаниями, чтобы узнать о новых методах лечения, которые могут быть доступны.
СОВЕТ №4
Поддерживайте здоровый образ жизни. Правильное питание, регулярные физические нагрузки и управление стрессом могут помочь улучшить общее состояние здоровья и повысить качество жизни во время лечения. Рассмотрите возможность консультации с диетологом или психологом для получения дополнительных рекомендаций.














