Ложный сустав (или псевдоартроз) – это образование, которое возникает на месте повреждения костной ткани. Происходит это в силу различных причин, из которых врожденные патологии составляют наименьший процент встречаемости заболевания (0,4%). Такие патологии, как ложный сустав большеберцовой кости, ключицы, шейки бедренной кости, коленного сустава, голени, лучевой кости или других чаще всего возникают после перелома.
В основе врожденной аномалии лежит нарушение развития костной ткани у плода. Помимо врожденных, ложные суставы бывают приобретенные. Они могут быть формирующиеся, когда образование возникает после истечения времени, необходимого для сращения костей, или тугие фиброзные, когда срок сращения превышен в два раза. Кроме этого, выделяют истинный ложный сустав, для которого характерна большая подвижность. В таком месте возможно формирование ложной капсулы. Чаще всего эта форма возникает на месте переломов плечевой кости или бедренной.
Причины образования псевдоартроза
Среди причин, которые вызвали развитие патологического процесса и формирование ложного сустава, выделяют как местные факторы (воздействие непосредственно на костную ткань), так и общие. Частота последних составляет приблизительно 4% от всех встречающихся случаев, и они влияют на образование патологии опосредованно. Кроме указанных выше врожденных дефектов развития, которые больше характерны для голени и костей предплечья, на формирование может повлиять нарушение обмена веществ. Например, его образованию способствуют:
- нарушения эндокринной системы;
- беременность;
- разрушение костной ткани, вызванное, к примеру, остеопорозом;
- онкологические заболевания;
- длительная интоксикация и так далее.
Однако в основном к возникновению патологии приводят факторы местного происхождения, при нестабильно сросшихся переломах или когда сломанная кость подвергается различным воздействиям. Например:
- при неправильно наложенном гипсе после травмы;
- если в момент перевязки или проведения других процедур, требующих снятия гипса, были допущены нарушения или снимать его было совсем нельзя;
- когда во время операции были допущены технические ошибки;
- если во время ношения гипса произошло смещение костей;
- когда повязку сняли слишком рано;
- если после того, как гипс сняли, не соблюдался режим нагрузки;
- если в место перелома попала инфекция.
Среди указанных причин чаще всего встречается ситуация, когда ложный сустав формируется, если пациент не выполняет предписания врача, например, передвигается без опоры или снимает поддерживающую повязку, считая, что все уже зажило, да и находится в гипсе. Кроме того, уже после снятия гипса важно придерживаться дозированной нагрузки, которую обычно назначают в первое время. Так, при переломе голеностопного сустава после снятия гипсовой повязки и рентгенологического подтверждения сращения костей в течение недели нагрузка на стопу не должна превышать 50%, а в дальнейшем, на протяжении определенного срока, с опорой на трость и ношением эластичной повязки. Нарушение этих требований может привести к формированию ложного сустава.
Врачи отмечают, что ложный сустав, или псевдартроз, является серьезным осложнением после переломов и повреждений костей. Это состояние возникает, когда фрагменты кости не срастаются должным образом, что может быть вызвано различными факторами, включая недостаточное кровоснабжение, инфекции или неправильное лечение. Специалисты подчеркивают важность своевременной диагностики и адекватного подхода к лечению, чтобы избежать долгосрочных последствий для пациента. В некоторых случаях может потребоваться хирургическое вмешательство для стабилизации кости и стимуляции процесса заживления. Врачи также рекомендуют реабилитацию и физиотерапию, чтобы восстановить функцию конечности и предотвратить повторные травмы. Профилактика ложного сустава включает в себя правильное лечение травм и соблюдение рекомендаций медицинских специалистов.

Симптомы ложного сустава
В случае врожденной патологии симптомы проявляются при первых попытках ребенка встать на ноги и самостоятельно ходить. В этом случае наиболее характерным симптомом будет подвижность ложного сустава, выраженная в гораздо большей степени, чем при приобретенной форме нарушения. Подвижность кости, как симптом, обычно развивается в несвойственном для нее месте. При этом она может иметь разную степень выраженности: от практически незаметной до значительной, вплоть до разворота отдела кости на 360 градусов.
Среди других признаков данной патологии могут быть характерны следующие:
- деформация конечности, ее укорочение или удлинение, а также искривление;
- болевой синдром (может иметь разную интенсивность);
- хромота или шатающаяся походка в случае формирования ложного сустава на костях ног;
- мышечная слабость;
- нарушение функций суставов, которые находятся рядом с повреждением;
- отечность и изменение цвета кожи (синюшность) тканей, расположенных под местом образования ложного сустава.
Все симптомы имеют разную степень выраженности в зависимости от места формирования патологии, образа жизни, стадии процесса образования, степени повреждения костной ткани и других причин.
Постановка диагноза
Диагноз «ложный сустав» ставят на основании жалоб, визуального осмотра и данных рентгенограммы. При необходимости назначают томографическое обследование. Особое значение уделяют срокам получения травмы, наложения и снятия гипса, средней норме сращения костей, установленной для конкретного повреждения. Если этот срок закончился относительно недавно, то можно предположить о несросшемся до конца переломе. Однако если после травмы прошло уже достаточно времени (вдвое больше, чем установлено в норме), то говорят о формировании ложного сустава
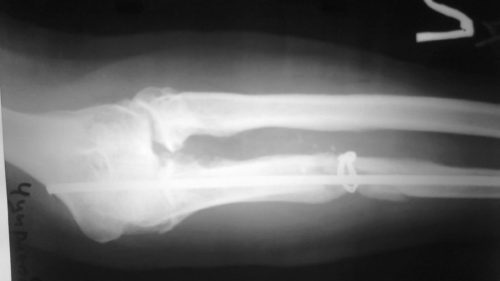
Решающее значение для диагностики ложного сустава имеет рентгенологическое исследование.
Для того чтобы определить наличие патологии, в обязательном порядке делают несколько снимков в разных проекциях: две перпендикулярные и дополнительные косые. На снимках можно увидеть наличие суставной щели между костями, которая имеет неровные очертания. Наиболее широкая щель встречается при гипертрофированном типе образования.
Края костных отломков сглажены, закруглены. Иногда на рентгенографическом снимке можно увидеть, как один из отломков в общих чертах напоминает суставную впадину, а другой похож на головку кости, входящей в эту впадину. Помимо этого костно-мозговая полость, расположенная между ними, зарастает с формированием замыкательной пластинки. Для того чтобы оценить степень и интенсивность происходящих патологических процессов, назначают дополнительное радионуклидное обследование.
Ложный сустав, или псевдартроз, часто становится темой обсуждений среди пациентов, перенесших переломы и повреждения. Многие люди делятся своими переживаниями о том, как долго восстанавливались после травмы и какие методы лечения использовали. Некоторые отмечают, что несмотря на соблюдение всех рекомендаций врачей, процесс заживления затянулся, и они столкнулись с этой неприятной проблемой. В таких случаях пациенты часто говорят о необходимости повторных операций и длительной реабилитации.
Другие же, наоборот, делятся положительным опытом, когда им удалось избежать ложного сустава благодаря своевременному вмешательству и правильному уходу за травмой. Важно отметить, что многие пациенты подчеркивают значимость психологической поддержки в процессе восстановления, ведь страх перед осложнениями может сильно влиять на общее состояние. В конечном итоге, обсуждение ложного сустава становится не только медицинской, но и социальной темой, объединяющей людей с похожими историями и опытом.

Лечение и профилактика
Лечением ложного сустава занимается врач – ортопед или травматолог. Лечат патологию исключительно оперативным путем. Если же данное повреждение не причиняет особенных неудобств и не вызывает болевого синдрома, то назначают ношение специального ортопедического аппарата. То же показано и в случае, когда проводить хирургическое вмешательство по каким-либо причинам нельзя.
В процессе проведения операции все измененные патологическим процессом ткани удаляют. При этом широко применяют пересадку собственной ткани пациента для пластического восстановления образовавшегося дефекта. Отломки костей скрепляют и фиксируют. Для этого используют специальные конструкции, выполненные из пластика или металла. Пластины или стержни могут быть применены как временно (с последующим удалением), так и остаться в кости пациента навсегда.
Для фиксации используют и наружные аппараты. Современные приспособления, ускоряющие сращение костей, дают возможность пациенту самостоятельно передвигаться. Подобное лечение требует от пациента огромного терпения, так как является достаточно длительным процессом и занимает около года или больше.
Кроме этого, ложные суставы хорошо поддаются воздействию лазеротерапии, ударно-волновой терапии. Об этом вы можете посмотреть следующее видео.

Заключение
Для того, чтобы предупредить формирование ложного сустава, необходимо четко следовать рекомендациям врача–травматолога в случае получения травмы. Нельзя самостоятельно снимать гипс или дополнительные приспособления, передвигаться без опоры или давать большую нагрузку раньше времени.
Вопрос-ответ
Что такое ложный сустав после перелома?
Ложный сустав – последствие травмы, которое возникает примерно в 2-3% всех случаев переломов, и характеризуется неправильным сращиванием костных отломков.
Почему формируется ложный сустав?
Псевдоартроз или ложный сустав – образование, которое возникает после травмы кости из-за неправильного срастания обломков. Состояние характеризуется нарушением непрерывности кости и патологической подвижностью в поврежденном отделе.
Сколько времени формируется ложный сустав?
Ложный сустав после перелома шейки бедра, например, а также после перелома шейки плеча образуется за 5-6 месяцев. При травме ребра или позвоночника требуется около 4 месяцев. Ложный сустав голени или колена формируется быстрее.
Что характерно для ложного сустава?
Основной симптом ложного сустава – это сохранение в месте перелома неестественной подвижности. Из-за этого нарушается функциональное состояние травмированной области. Так, человек не может полноценно опираться на ногу и свободно ходить.
Советы
СОВЕТ №1
Обратитесь к врачу при первых признаках ложного сустава. Если после перелома вы замечаете, что боль не уходит, а движения в конечности остаются ограниченными, важно как можно скорее проконсультироваться с ортопедом или травматологом для оценки состояния и назначения необходимого лечения.
СОВЕТ №2
Следуйте рекомендациям по реабилитации. После перелома и лечения важно выполнять все предписанные упражнения и процедуры для восстановления функции конечности. Это поможет предотвратить развитие ложного сустава и улучшить общую подвижность.
СОВЕТ №3
Обратите внимание на питание. Убедитесь, что ваш рацион богат кальцием и витамином D, которые способствуют укреплению костей. Включите в меню молочные продукты, зелень, рыбу и орехи, чтобы поддерживать здоровье костной ткани.
СОВЕТ №4
Не пренебрегайте контролем за состоянием. Регулярные осмотры у врача помогут вовремя выявить возможные осложнения и скорректировать лечение, если это необходимо. Это особенно важно в первые месяцы после травмы, когда риск развития ложного сустава наиболее высок.







